Благодаря наличию компьютерного 3D томографа, визиографов, микроскопов, внутриротовых сканеров, специализированного программного обеспечения и опыту наших врачей, мы ставим верные диагнозы и проводим рациональное лечение.
Современные технологии
Мы всегда на гребне волны технологий и методик. Регулярно поддерживаем и обновляем уровень знаний.
Имплантация зубов
В нашей клинике вы можете получить все виды услуг, связанные с установкой дентальных имплантов, в том числе костные и десневые пластики.
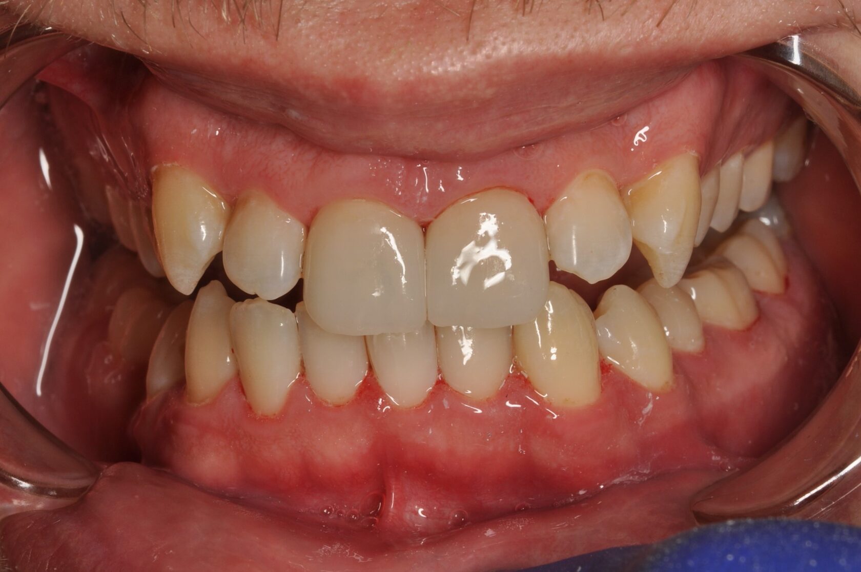
Виниры и коронки от 1 дня
Технология 3D-моделирования и фрезерования позволяет создать точную реставрацию без слепков и примерок — в кратчайшие сроки.
Собственная цифровая зуботехническая лаборатория
Изготовление виниров, коронок на зубы и импланты— у нас на месте. Это гарантирует точность, контроль качества и минимальные сроки.
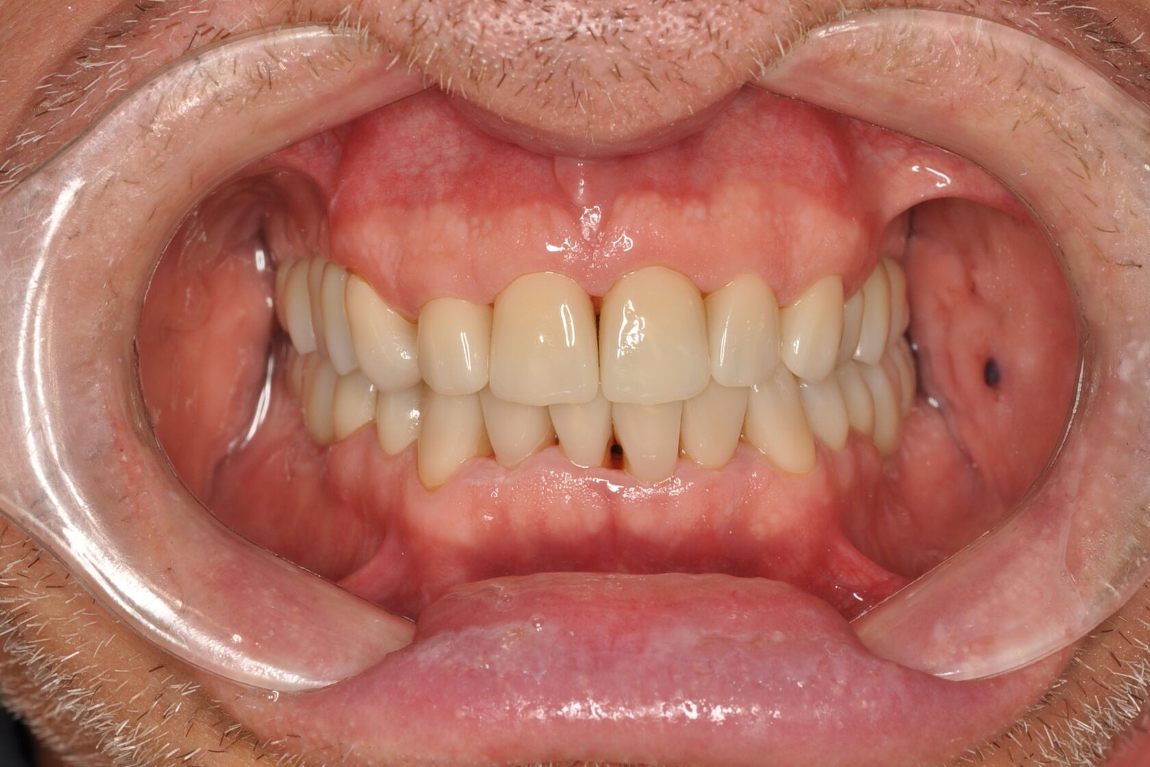
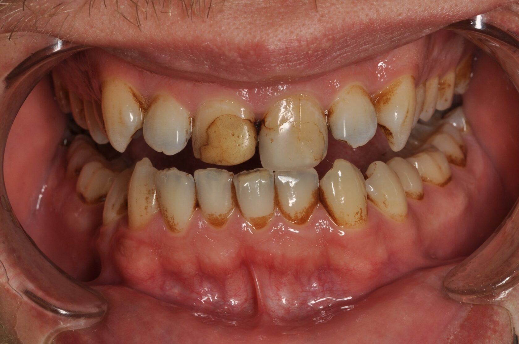
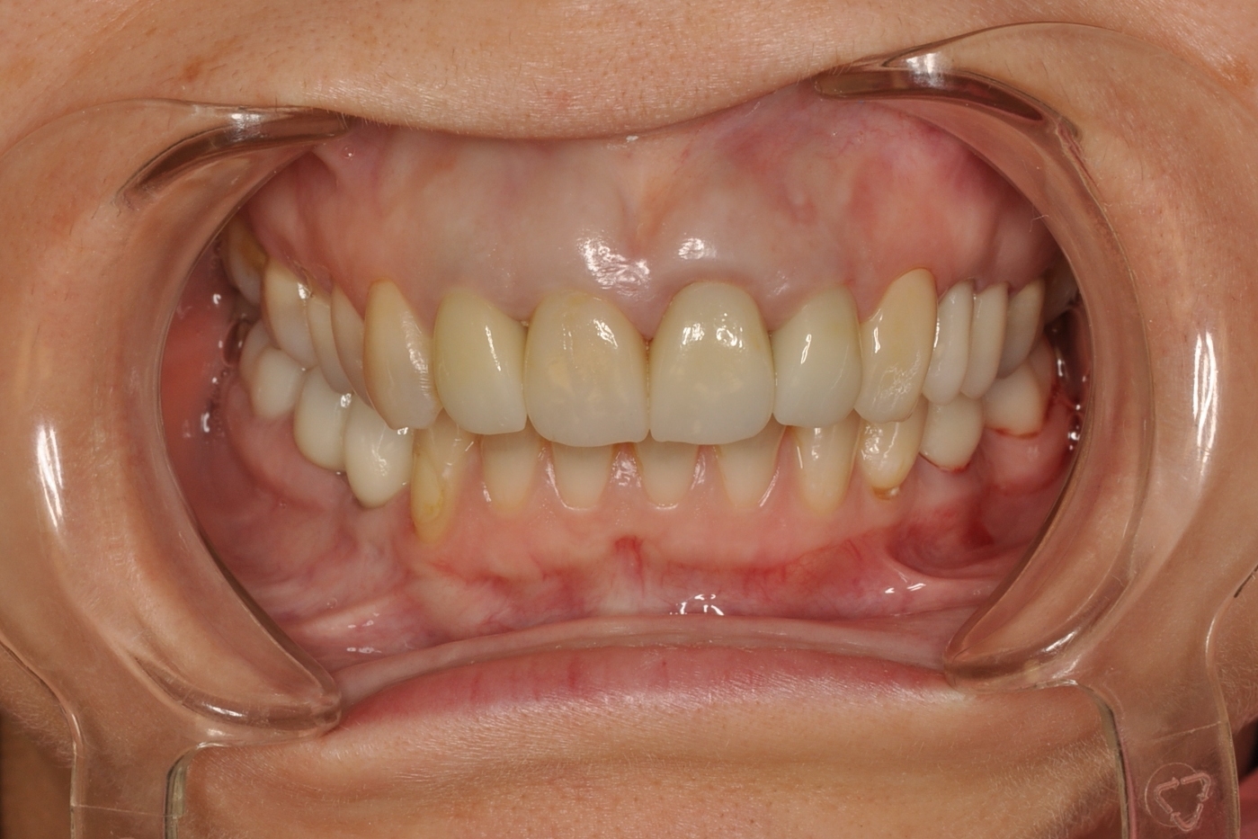
Клиника "Этет"— это место, где стоматология соединяется с современными технологиями и внимательным, вдумчивым подходом к каждому пациенту. Мы работаем по принципам доказательной медицины и стараемся не просто лечить, а объяснять, помогать, поддерживать. У нас есть всё необходимое, чтобы сделать лечение точным, комфортным и быстрым: компьютерный томограф, микроскопы, цифровые сканеры и собственная зуботехническая лаборатория. Это позволяет контролировать весь процесс — от диагностики до финального результата — и добиваться по-настоящему надёжных и эстетичных решений. Мы не гонимся за рекламой. Люди приходят к нам по совету друзей, родных, соседей. И для нас нет большей ценности, чем доверие, с которым они возвращаются.
The Innovators:
How a Group of Geniuses, and Geeks Created the Digital Revolution
Более 10 лет заботимся о здоровье и улыбке пациентов
Очень долго решалась на виниры, боялась, что будет неестественно. В Эстет всё объяснили, показали, даже сделали 3D-примерку — результат превзошёл ожидания. Улыбка теперь как мечтала, но главное — никто не замечает, что это не мои родные зубы.
Олег
55 лет, установка импланта
Потерял зубы рано, с возрастом стало сложно есть и говорить. В клинике поставили импланты, аккуратно, без боли и быстро. Сейчас чувствую себя уверенно, будто снова свои. Очень благодарен врачам за внимательность и профессионализм:)
Мария,
41 год, лечение
Приехала по рекомендации, хотя живу не в Черняховске. Лечили зубы под микроскопом — никаких догадок, всё чётко. Первый раз не боялась сесть в кресло. Очень уютная клиника и добрые врачи, ощущение, что тебе правда хотят помочь.